In outpatient work, Dr. Jia found that many people have a certain understanding of many common gynecological diseases, such as uterine fibroids, endometrial polyps, etc., but every time they mention adenomyosis, many people are still confused and say it’s the first time they’ve heard of it.
However, this disease is quite common. According to the latest Meta-analysis,
So today, let’s get to know this common gynecological disease with ten questions and ten answers.
the prevalence of adenomyosis in women of childbearing age in our country is about 19.5%(data from 2023), that is to say, one out of every five women may have adenomyosis, but the actual diagnosis rate is far lower than the prevalence! It can also cause dysmenorrhea, infertility, excessive menstrual bleeding and other various problems.
Imagine the endometrium ( glands and stroma) is supposed to stay quietly in the uterine cavity, but some endometrial cells are a bit rebellious and sneak into the uterine muscle layer (scientific name “myometrium”), leading to adenomyosis.
These lost endometrial tissues, like the normal endometrium, will continue to proliferate and bleed with hormonal changes, but cannot be expelled like a normal menstruation, causing the uterine myometrium to gradually expand like a balloon, causing dysmenorrhea, excessive menstrual bleeding and other problems.
Question 1: What is adenomyosis?
The medical community has not yet figured out the cause of adenomyosis, but the following situations may cause endometrial cells to “deviate”:
Question 2: Why do endometrial cells “get lost”?
Uterine injury history:
Hormonal buff:
Other speculations:
Cesarean section, miscarriage, curettage and other minor injuries may allow endometrial cells to take the opportunity to enter the muscle layer.
Related to the action of estrogen, it basically only occurs in reproductive age.
Inflammation, stem cell abnormalities, Müllerian duct vestige metaplasia… still under research!
What’s the difference between adenomyosis and endometriosis?
Both are endometrium “running away from home”, but addresses are different:
Question 3:
Adenomyosis:
Endometriosis:
✅ Common points: Dysmenorrhea, infertility; ❎ Differences: Adenomyosis is more likely to cause heavy bleeding, while endometriosis often comes with pelvic adhesions.
Endometrial cells live in the uterine muscle layer, causing the uterus to become larger and harder.
Endometrial cells run outside the uterus, such as ovaries, pelvic cavity, and even lungs.
The latest Meta-analysis shows that the prevalence of adenomyosis in women of childbearing age in our country is about 19.5% (data from 2023), that is to say, one out of every five women may have adenomyosis, but the actual diagnosis rate is far lower than the prevalence! There are three reasons: Too tolerant: Too concealed: Too difficult to detect:
Question 4: Is adenomyosis common?
Dysmenorrhea can be tolerated, and may not seek medical treatment in time;
About one-third of adenomyosis patients have no symptoms;
Early adenomyosis ultrasound performance is not obvious, easy to miss.
● Age: Women over 35 are relatively more likely to develop; ● Childbirth history: Women who have given birth; ●Surgery history: Women who have undergone cesarean section, myoma removal, curettage and other uterine operations. ● Disease history: Women with a history of endometriosis.
Question 5: Who is more likely to be affected?
Menstrual pain upgrade The degree can be “barely able to go to work” or “unable to get out of bed”, and it may also cause chronic pelvic pain, dyspareunia.
Question 6: What impact may it have on the body?
Anemia alert Bleeding half a tank of blood in a month, pale complexion, dizziness, and fatigue.
Infertility crisis The difficulty of embryo implantation increases, the miscarriage rate rises.
Uterine enlargement The uterus graduallyenlarges and stiffens, possibly accompanied by a feeling of lower abdominal distension.
No. Adenomyosis itself does not lead to cancer or transform into cancer.
Question 7: Can adenomyosis become cancerous?
Self-check signals For example, menstrual pain worsening over the years, increasing menstrual volume over the years, lower abdominal pain during intercourse and other are signals that need to be vigilant.
Doctor’s examination Palpation:
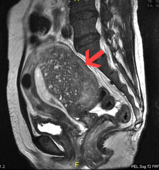
Ultrasound/MRI:
Question 8: How can I know if I have adenomyosis?
Bimanual palpation feels an enlarged, hard uterus;
Seeing the uterine myometrium thickening, uneven or localized adenomyoma lesions, etc.
The appropriate treatment plan needs to consider age, severity of symptoms, future fertility plans and so on, usually the first choice is the drug plan, to improve pain and/or excessive menstruation symptoms.
Question 9: Treatment plan PK,
which one is more suitable?
Drug treatment Pain relievers:
Hormonal drugs:
Non-hormonal drugs:
GnRH agonists:
Ibuprofen, Naproxen, etc., help relieve dysmenorrhea.
Mirena IUD, combined oral contraceptives(e.g.,Yaz), Dienogest, etc., can inhibit lesion growth, reduce menstrual volume.
Such as tranexamic acid, can reduce vaginal bleeding.
Monthly injection of GnRH agonists, commonly known as “pseudomenopause therapy”, side effects are menopausal symptoms, can be used in the short term.
Existing evidence suggests that Mirena(IUD)is the most effective in controlling the symptoms of adenomyosis, with a symptom relief rate of 82%, and very good safety, recommended as first-line treatment.
Surgical treatment If drug treatment cannot control your symptoms, and you no longer plan to have children, your healthcare provider may suggest surgical treatment. The most radical surgical treatment is hysterectomy (hysterectomy).
Adenomyoma resection:
Ultimate plan:
Remove the lesion while preserving the uterus (recurrence rate 30%-50%).
Hysterectomy (suitable for patients with no fertility needs, symptoms are hellish).
Most women who experience bothersome symptoms due to adenomyosis can get better with treatment, and after menopause, the symptoms of adenomyosis usually disappear as well.
Although adenomyosis is annoying, it is by no means a disaster. Scientific and standardized treatment can control the symptoms of most women. Remember, your pain is never trivial, and we always have the right to seek professional support!
Question 10: How long will adenomyosis bother me?
Conclusion

